The Art of Braces

Metal Braces Transformation

Case #42526 | 50 - 59 | Male

Patient Age 50 - 59
Gender Male
Treatment Metal Braces

About This Case

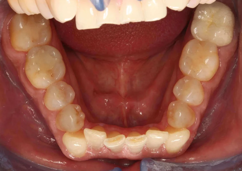
This patient had severe crowding, a bad bite, as well as a missing molar with a 3 unit bridge that made treatment more complicated. He also had severe gingival recession with triangular shaped teeth and large black triangles. We were able to achieve a nice result for this patient without extracting any teeth. The patient required some dental work after his orthodontic treatment was completed to redo some fillings. The total treatment time was 22 months.

Before & After Photos

Lower Occlusal View

Lower Occlusal View - Before Treatment
Before
Lower Occlusal View - After Treatment
After

Upper Occlusal View

Upper Occlusal View - Before Treatment
Before
Upper Occlusal View - After Treatment
After

Right Buccal View

Right Buccal View - Before Treatment
Before
Right Buccal View - After Treatment
After

Left Buccal View

Left Buccal View - Before Treatment
Before
Left Buccal View - After Treatment
After

Treatments Used

  • Smile Arc Protection
  • Braces
  • Clear Braces
  • Metal Braces
  • Clear Aligners

*Individual results are not guaranteed and may vary from person to person. Images may contain models.

Dr. Saoly Benson

Dr. Saoly Benson

Free consult · up to 60 min
Children & Teens Clear Aligners Hidden Braces Smile Design Adult Treatment
Las Vegas 5.0 (600+ Google Reviews)
Board-certified | 13+ years | 0% financing | 25+ insurance plans
More about Dr. Benson →
Next available: Loading soonest slot...

When works best?

Pick a day that works

SunMonTueWedThuFriSat

Time with Dr. Benson — built around your case, not a clock.
Your consult ends with a written treatment plan, not a verbal quote.

We'll find you a time.

Call or text. A human being here in Las Vegas takes it from there.

Keep Exploring