The Art of Braces

Metal Braces Transformation

Case #102686 | 11 - 17 | Male

Patient Age 11 - 17
Gender Male
Treatment Metal Braces

About This Case

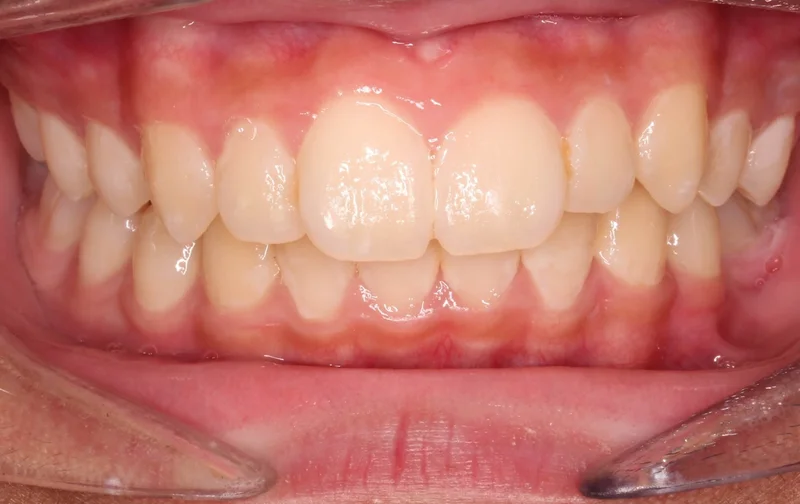
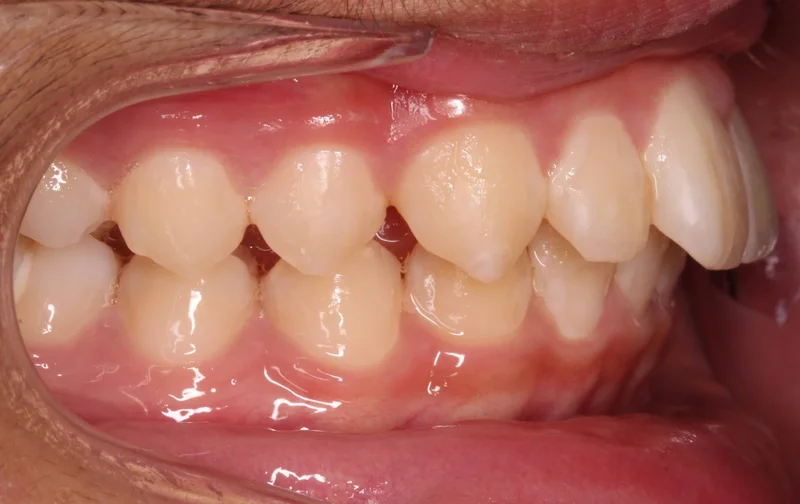
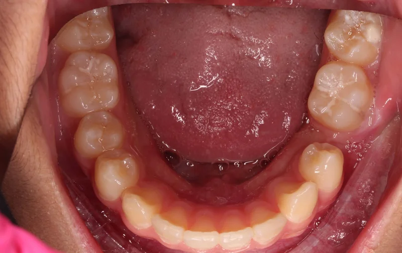
This Las Vegas teen male presented with a congenitally missing tooth on the lower arch and also had a significant overbite with a class II malocclusion. He also had an underdeveloped jaw and a Herbst appliance was used to guide the growth of his lower jaw forward. Metal self-ligating braces were used to align the teeth and the space from the congenitally missing premolar was closed. The deep overbite was corrected while preserving a beautiful smile arc (smile arc protection) for this patient. Total treatment time was 29 months.

Before & After Photos

Facial Frontal

Facial Frontal - Before Treatment
Before
Facial Frontal - After Treatment
After

Center

Center - Before Treatment
Before
Center - After Treatment
After

Buccal Right

Buccal Right - Before Treatment
Before
Buccal Right - After Treatment
After

Occlusal Lower

Occlusal Lower - Before Treatment
Before
Occlusal Lower - After Treatment
After

Treatments Used

  • Smile Arc Protection
  • Braces
  • Clear Braces
  • Metal Braces
  • Clear Aligners

*Individual results are not guaranteed and may vary from person to person. Images may contain models.

Dr. Saoly Benson

Dr. Saoly Benson

Free consult · up to 60 min
Children & Teens Clear Aligners Hidden Braces Smile Design Adult Treatment
Las Vegas 5.0 (600+ Google Reviews)
Board-certified | 13+ years | 0% financing | 25+ insurance plans
More about Dr. Benson →
Next available: Loading soonest slot...

When works best?

Pick a day that works

SunMonTueWedThuFriSat

Time with Dr. Benson — built around your case, not a clock.
Your consult ends with a written treatment plan, not a verbal quote.

We'll find you a time.

Call or text. A human being here in Las Vegas takes it from there.

Keep Exploring