The Art of Braces

Metal Braces Transformation

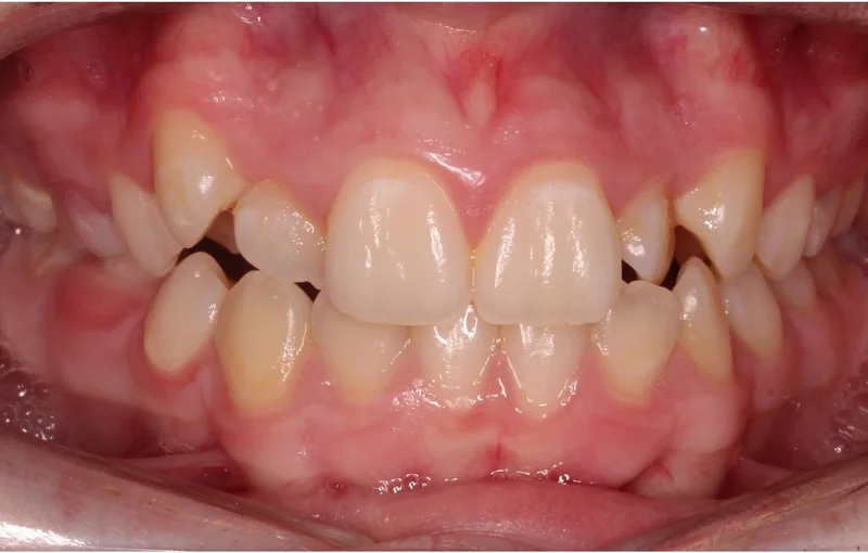
Case #102669 | 11 - 17 | Female

Patient Age 11 - 17
Gender Female
Treatment Metal Braces

About This Case

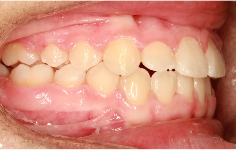
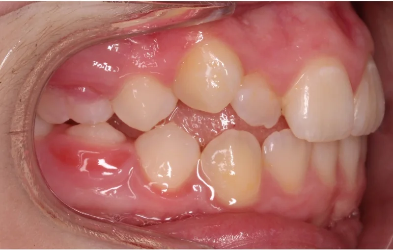
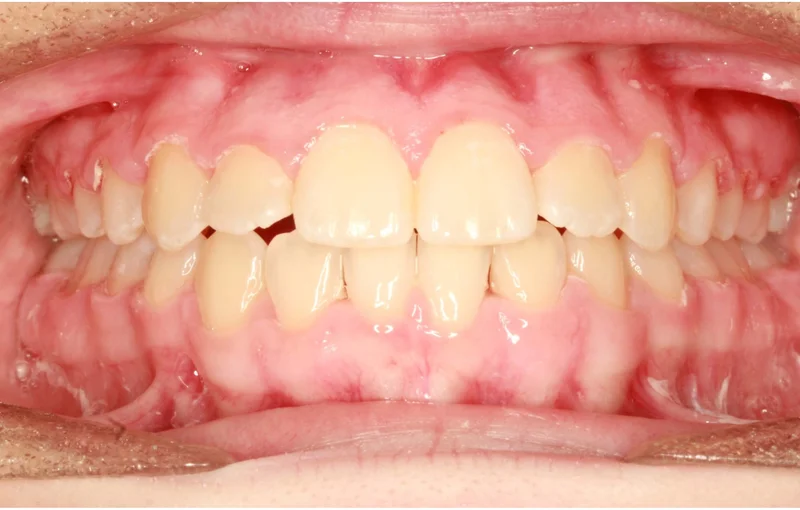
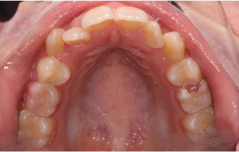
A Las Vegas teenage female patient presented with moderate upper and lower crowding, narrow upper and lower jaws, and her upper lateral incisors in a crossbite relationship. She was treated non-extraction with Pitts21 metal self-ligating braces and achieved expansion without the need for a palatal expander. Total treatment time was 19 months.

Before & After Photos

Facial Smiling

Facial Smiling - Before Treatment
Before
Facial Smiling - After Treatment
After

Upper

Upper - Before Treatment
Before
Upper - After Treatment
After

Center

Center - Before Treatment
Before
Center - After Treatment
After

Buccal Right

Buccal Right - Before Treatment
Before
Buccal Right - After Treatment
After

Treatments Used

  • Smile Arc Protection
  • Braces
  • Clear Braces
  • Metal Braces
  • Clear Aligners

*Individual results are not guaranteed and may vary from person to person. Images may contain models.

Dr. Saoly Benson

Dr. Saoly Benson

Free consult · up to 60 min
Children & Teens Clear Aligners Hidden Braces Smile Design Adult Treatment
Las Vegas 5.0 (600+ Google Reviews)
Board-certified | 13+ years | 0% financing | 25+ insurance plans
More about Dr. Benson →
Next available: Loading soonest slot...

When works best?

Pick a day that works

SunMonTueWedThuFriSat

Time with Dr. Benson — built around your case, not a clock.
Your consult ends with a written treatment plan, not a verbal quote.

We'll find you a time.

Call or text. A human being here in Las Vegas takes it from there.

Keep Exploring