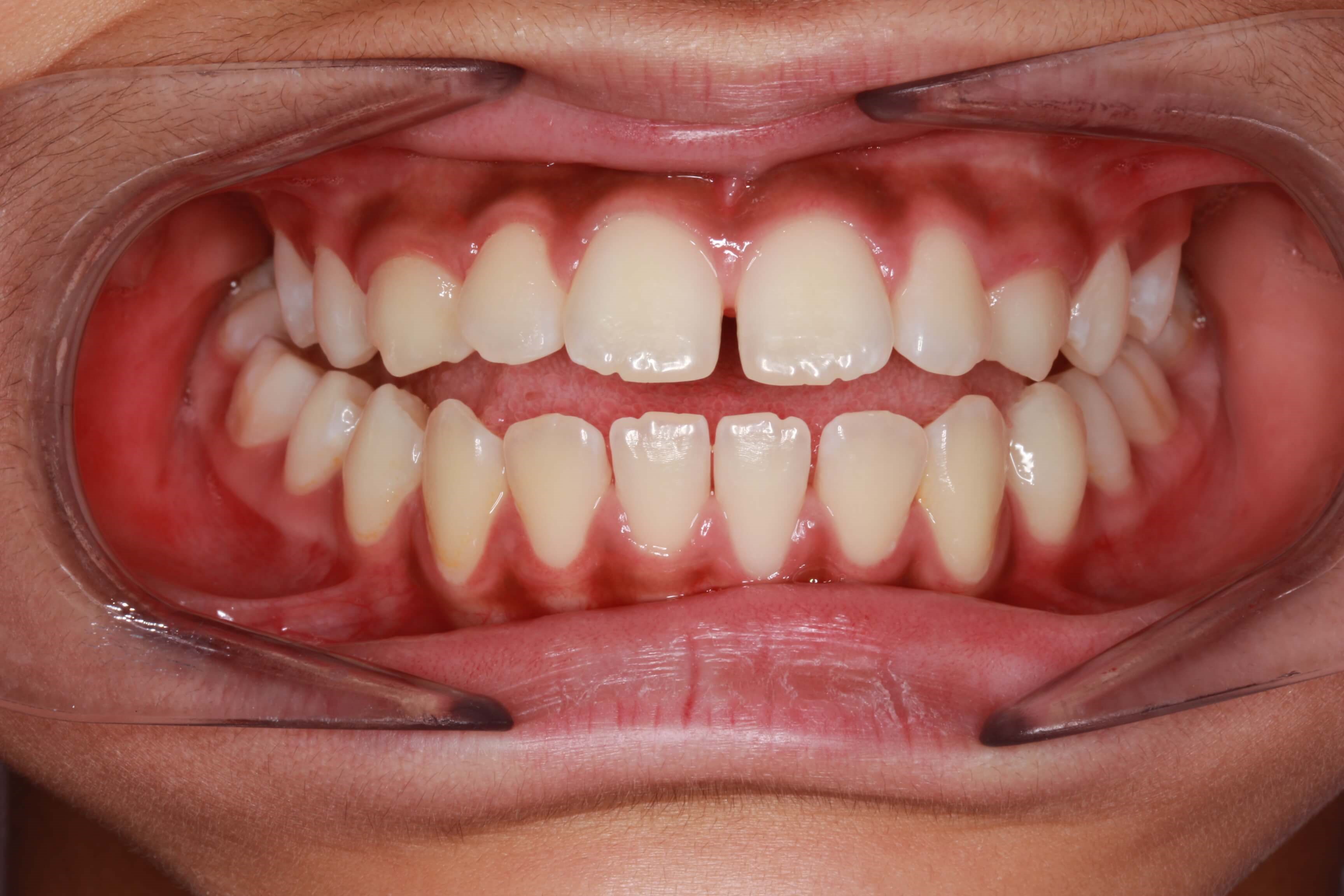
Female Pre-Teen with Spacing and Protrusive Teeth
Profile
Board-certified orthodontist
702-800-4698
Procedure Details
Location
Popular Searches
* All information subject to change. Images may contain models. Individual results are not guaranteed and may vary.